右肺上叶小结节什么意思
右肺上叶小结节是影像学上的一个描述术语,是指患者的右肺上叶里面有结节。
右肺上叶小结节在临床上是比较常见的一种疾病,有可能是患者以前感染肺结核或者是肺炎遗留下来的一个疤痕组织的良性病变,也有可能是炎症肉芽肿或。
右肺上叶小结节是什么意思?
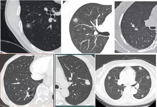
肺结节为小的局灶性、类圆形、影像学表现密度增高的阴影,可单发或多发,不伴肺不张、肺门肿大和胸腔积液。
孤立性肺结节无典型症状,常为单个、边界清楚、密度增高、直径≤3cm且周围被含气肺组织包绕的软组织影。

右肺下叶小结节是什么意思?急!
我母亲今年70岁了,去医院做CT检查。
CT表现:胸廓对称,双肺纹理增粗,。右肺小结节就是在肺上长了比较大的结节,导致的因素也有很多,例如说可能以前就是得过肺炎,痊愈了留下的瘢痕灶,或者抽烟引起。
如果结节变大,应该是肺感染,也可能肿瘤,但假如不是很严重的话,就定期去医院做检查就好了。
肺部小结节是什么意思 肺部小结节指的是什么
1、肺部小结节一般是在体检的时候发现,肺部CT显示肺部类圆形病灶,肺部小结节的种类,分为孤立性结节和多发性结节,肺部结节有的可以自行消失,有的不会消失,局部病灶直径大于3cm者称为肺肿瘤。
2、肺部小结节并不等于早期肺。
“右肺上叶小结节”是什么意思?
1、右肺上叶小结节及左肺下叶小结节主要考虑为炎症、结核、肿瘤的可能性,建议进一步检查,目前是可以采取抗炎药物治疗的。
2、给予抗生素治疗控制炎症后复查,必要时给予纤支镜检查,如咳嗽剧烈,可给予止咳化痰治疗。
3、平时。