中国97%的成年人患有牙结石,牙结石都有什么危害?
牙结石最主要的危害就是对牙齿造成伤害。
牙结石不但会压迫牙床,阻碍口腔内血液的正常流动,还能引起牙龈发炎,甚至肿痛,长期下去牙结石堆积越来越多,形成恶性循环。
其次牙结石会导致牙齿变黄,影响美观。
牙结石堆积到一定程度。
牙结石的危害是什么
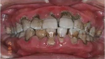
因为牙石的堆积,使得牙龈存在一种有炎症的状况,因为牙石表面非常粗糙,牙石的表面会有大量细菌、食物残渣堆积在那里,细菌所代谢的毒素会更多刺激牙龈。
所以有牙石的地方患者会发现牙龈是红的、肿的、松软的,跟牙齿之间分离,。

牙结石有哪些危害?
如果牙石位于前牙区域,势必会影响美观。
另外,牙结石表面附着大量的腐败物质,对牙龈的刺激会导致牙龈出血,使口腔形成非常明显的异味,即口臭。
另外,还需要特别注意,牙结石一旦形成不会停止,而且也不可能通过刷牙清除。
当牙。
数据显示,我国97%的成年人患有牙结石,患上牙结石对牙齿有何危害?
一是破坏牙齿健康。
牙结石出现在牙龈和牙缝处,时间久了我们的牙齿会受到影响,可能会松动;二是引发牙齿疾病。
代表性的疾病是牙龈发炎,如果发现自己经常刷牙,可总是会出现牙龈出血的状况,那就是牙龈发炎了;三是口臭。
牙。
牙结石有哪些危害
牙结石的危害:1结石会引起牙周炎,牙结石容易吸附细菌或毒素加上牙结石本身局部刺激使牙龈红肿出血发炎由于龈下牙石刺激及附着物产生毒素使牙龈内侧发生溃疡易愈合致使牙龈出血、和牙周感染加重,因此导致牙石牙周炎发生。
2牙结石。