牙齿钙化是怎么回事?
我家宝宝快一周岁了,牙齿发黄,有人说是钙化,为什么会这样呢?怎么样解决呢?你好,牙齿钙化伴有缺损及颜色的改变,属于牙釉质的发育不良,一般是于牙齿发育期间身体缺乏钙及维量元素有关,属于牙齿的发育缺陷,对于后期没有什么好的治疗方法主要预防龋齿的发生,保持口腔卫生清洁正确的刷牙方式,如果钙化缺。

牙髓钙化是怎么回事?
你好,一般出现牙髓钙化有两种形式:一是结节性钙化,又称做髓石。
另一种是弥漫性钙化,症状体征一般不引起临床症状,个别情况出现与体位有关的自发痛。
二患牙堆牙髓活力测验的反应可异常,表现为迟钝或敏感。
三是X线片显示,。
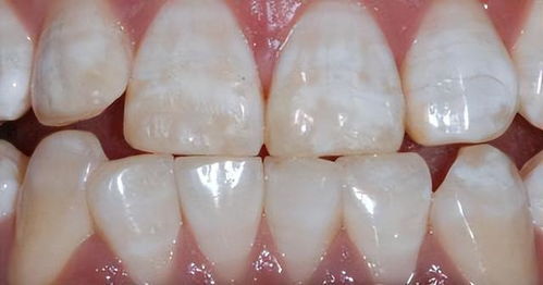
牙齿钙化是怎么回事
牙齿钙化的表现 钙化不良的牙齿常会导致牙釉质疏松,轻者牙冠表面有带状横沟,重者牙冠呈黄褐色,表面凹凸不平,牙实质缺损。
若为全身营养不良引起,则两侧同名牙出现对称性病变;若有外伤、感染等局部因素所致,则只限于受害牙。
牙钙化什么意思
牙齿钙化:的确牙齿各部位的组织都是高度钙化的物质,牙齿表面的釉质含有96%的无机盐,其中90%是磷酸钙,所以钙是牙齿发育过程中的重要元素。
如果在牙齿钙化阶段得到充足的钙,对牙齿的发育是有利的。
然而,牙齿一旦萌出,钙化。