含氟牙膏和不含氟的到底哪种好?
我在书上看到的都是说含氟的是最佳首选,但在超市去买,服务员们都会说。含氟的牙膏比较好,一定量的氟可促进牙齿再矿化,增强羟基磷灰石的抗酸能力,起到抗细菌附着的作用,进而有利于预防龋齿。
不论是公共饮水氟化措施还是使用含氟牙膏,均有显著的防龋效果。
而氟斑牙是在牙齿的发育过程中,摄入过。
我的牙齿有轻度氟斑牙(有图),我不想做烤瓷,我十三岁,请问有什么办法吗
白齿灵 你淘宝下 应该能看到 反正我不是托,相不相信由你,因为昨天使用效果好才带给轻度氟斑牙患者福音,因为我也是受氟斑牙侵害的,之前牙医也叫我烤瓷,我不想年纪轻轻就带瓷牙 。

氟斑牙图片?
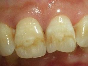
我的牙齿看起来牙齿 比较暗沉,有点发黄,我的工作笑容很重要,我怎么都。fluorosis)又称斑釉牙,是牙齿发育时期人体摄入氟量过高所引起的特殊型牙齿釉质发育不全,临床主要表现为釉质出现着色的斑块和缺损。
氟斑牙是地区性慢性氟中毒 (fluorosis)的一种突出症状。
地区性慢性氟中毒主要累及发育中的牙齿。
氟斑牙是什么
谁有办法呢,挺郁闷的,就因为这口难看的牙,我是生活没有信心,工作没。氟牙症 也称氟斑牙或斑釉牙。
此症具有地域性发病的特点,主要是因为饮用水中氟含量过高所致。
轻度者牙齿表面的牙釉质浑浊不透明,呈白垩色;中度者牙面呈黄色或棕黄色不规则形斑块;重症者除有色泽改变外,还伴有牙面釉质缺。

网传含氟牙膏致癌,这个消息靠谱吗?
轻度中毒会引起氟斑牙,极少数重度中毒的会导致氟骨症。
氟斑牙患者的牙面会出现白垩色斑点,甚至点状凹坑,由于牙本质暴露和着色而变成黄褐色。
结论:谣言粉碎。
含氟牙膏不致癌。
“含氟量高的水质会造成牙齿发黄”其实说的是。