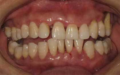
牙龈萎缩怎么办?
1.刷牙太用力,造成牙龈萎缩,使牙根外露,相对于对食物或饮料冷热敏感,可以更换刷毛较软之牙刷即可!2.牙周病造成牙龈萎缩,刷牙易出血,牙根外露,牙齿敏感度升高,要寻求牙周病专科医生的帮助方可痊愈!一般情况下已发生牙龈。

牙龈萎缩怎么办?
回牙龈萎缩是由于牙结石刺激引起的牙周炎造成的。
应该去洗牙,上药,加药物治疗。
单纯用药物不解决问题。
纠正你的一个误区,认为洗牙可以引起牙齿活动。
牙齿活动是由于牙龈萎缩,牙槽骨吸收造成的,去除牙结石后可能会暂时性的松。
牙龈有点萎缩,想试试完好如初牙膏,看能不能修复?
还有另外一种情况,如果牙龈萎缩比较严重,通常指的是尖牙,牙龈退缩还是比较多的,如果出现这种情况,可以考虑做牙龈修补术,这都可以改善牙龈萎缩。
牙龈萎缩用什么牙膏好
另外配合进行牙线的清理,牙膏方面一般都可以的不用太过纠结,但是在牙龈红肿出血比较严重的时候,可以用一些丁硼乳膏刷牙,以及漱口水漱口,可以缓解急性的炎症反应,也是可以维护牙周组织健康的。